口元で決まる第一印象

PROFESSIONAL WHITENING

天王寺・阿部野の
ホワイトニング

川上歯科あべの診療所

お口の状態やライフスタイルに合わせて、
オフィス・ホーム・併用の3つの方法からご提案します。

川上歯科あべの診療所

🚶 天王寺駅徒歩2分・阿部野駅徒歩1分
💰 料金¥11,000〜
🕐 ホワイトニング受付時間 9:30〜12:00 / 14:00〜18:00

〒545-0052 大阪市阿倍野区阿倍野筋1-6-1 Q'sタウン1階

1,000+
施術実績
95%
満足度
当日OK
※予約状況により
お受けできない
場合があります

こんなお悩み、ありませんか?

01

大切なイベントを控えている

結婚式・前撮り・成人式など、イベントの日程に合わせて白さや回数をご提案します。

02

歯の黄ばみが気になる

写真や会話で口元が気になってしまう。自信を持って笑えるようになりたい。

03

清潔感を上げたい

仕事や接客の場面で第一印象を整えたい。プロフェッショナルな印象に。

04

市販品では不安

安全面や効果が心配で、なかなか始められない。歯科医院だからこその安心感。

ホワイトニングの方法

短期間で白く

オフィスホワイトニング

医院で行う方法

  • 1カウンセリング・お口のチェック
  • 2院内でホワイトニング(約60分)
  • 3アフター説明(注意点・次回目安)
自分のペースで

ホームホワイトニング

ご自宅で行う方法

  • 1カウンセリング・チェック
  • 2専用トレーの型取り
  • 3トレーお渡し・ご自宅で実施

料金

オフィスホワイトニング

¥11,000

医院で行うホワイトニング。
1回で効果を実感できます。

併用ホワイトニング

¥22,000

オフィス+ホームの組み合わせ。
効果と持続性を両立。

※すべて税込価格です

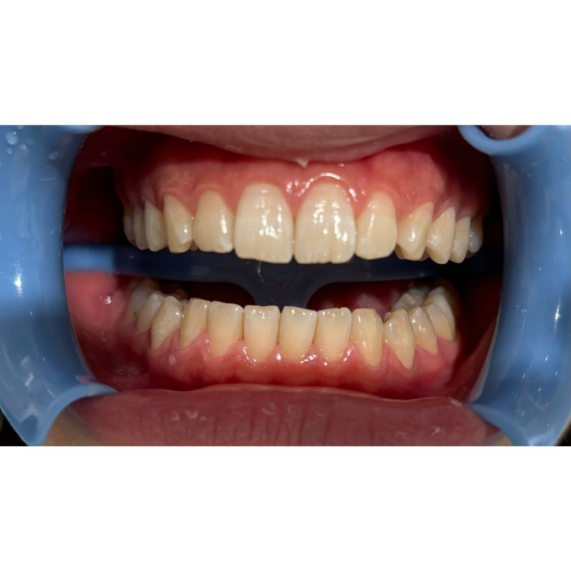
実際の症例

ホワイトニング症例 Before
ホワイトニング症例 After

オフィスホワイトニング 1回

1回の施術で歯の色が数トーンアップ。施術後は白く輝く笑顔に自信が持てるようになったとご好評いただいています。

年代・性別

20代女性

施術時間

約60分

施術回数

1回

種類

オフィスホワイトニング

※効果には個人差があります

よくある質問

お口の状態や生活スタイルに合わせてご提案します。迷う場合は相談してから決められます。

現在の歯の色や着色の原因によります。まずはカウンセリングで目標の白さを伺い、最適な方法をご提案します。

個人差があります。一時的にしみる場合はありますが、濃度や回数の調整、しみ止めの処置などで負担を減らせます。

お口の状態に問題がなければ、当日施術が可能な場合もあります。状態によっては別日をご案内することがあります。

生活習慣(コーヒー・紅茶・喫煙など)で差があります。定期的なクリーニングやタッチアップで維持しやすくなります。

安全性を最優先に考え、当院では原則として出産・授乳終了後の施術をおすすめしております。

必ずしも全員に必要ではありません。施術前にお口の状態を確認し、必要に応じてクリーニングをご案内します。

未成年の方は、歯や神経が成長途中の場合があるため、原則として保護者の同意が必要です。年齢や歯の状態によっては施術をお断りする場合がありますので、まずはご相談ください。

施術直後は着色しやすいので、数時間〜24時間程度は色の濃い飲食物を控えることをおすすめします(個別にご案内します)。

人工物(セラミック、レジンなど)はホワイトニングでは白くなりません。周りの歯に合わせてやり替えをご提案することがあります。

アクセス

川上歯科あべの診療所

📍

Address

〒545-0052

大阪市阿倍野区阿倍野筋1-6-1 Q'sタウン1階

🚶

Access

天王寺駅徒歩2分・阿部野駅徒歩1分

Hours

月〜土 9:30〜12:00 / 14:00〜19:30
日(第4日曜のみ)9:30〜12:00 / 14:00〜16:30
休診:日曜(第4日曜除く)・祝日

9:30〜12:00 / 14:00〜18:00にて
ご予約いただけます